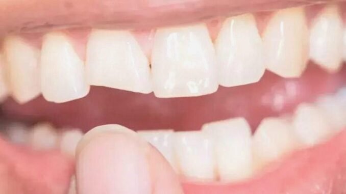
Günlük alışkanlıklarımız, fark etmeden dişlerimizin sağlığını ciddi anlamda etkileyebilir. Özellikle, diş minesinin aşınması, başlangıçta hafif görünse de zamanla çiğneme fonksiyonunu engelleyecek kadar ilerleyebilir. Bu aşınmayı tetikleyen faktörleri ve önleme yollarını öğrenmek, diş sağlığınızı korumak adına hayati öneme sahiptir. Çoğu zaman, farkında olmadan verdiğimiz zararlar, yıllar içinde diş yüzeyinde belirgin izler bırakır ve bu durum, tedavi maliyetlerini artırabilir. Bu nedenle, doğru bilgiye sahip olmalı ve alışkanlıklarımızı gözden geçirmeliyiz.
Sık Sık Yiyecek ve Atıştırmalık Tüketimi
Gün içinde sürekli olarak yüksek şeker ve asit içeren gıdalar tüketmek, diş minesine ciddi zararlar verir. Özellikle kuru meyveler ve paketli atıştırmalıklar, ağızda uzun süre kalıp asit seviyelerini yükselttiği için dişlerin doğal koruyucu tabakasını zayıflatır. Sık sık atıştırmak, diş yüzeyinde iyonların çözülmesine sebep olurken, bu durum zamanla aşınma oranını artırır. Bu alışkanlığı değiştirmek, sağlıklı dişler için ilk adımdır. Anahtar, şeker ve asit oranı yüksek gıdalardan uzak durmak ve tükettikten sonra ağız hijyenine özen göstermektir.
Asitli İçeceklerin Yıkıcı Etkisi
Gazlı içecekler, aromalı meyve suları ve enerji içecekleri, diş sağlığı açısından en zararlı içeceklerdir. Bu içecekler yüksek oranda karbonik asit ve şeker içerir, bu da diş minesine hızla nüfuz eder. Uzun süre yavaş yavaş tüketilen asitli içecekler, dişin mineral yapısını çözer ve aşınma hızını artırır. pipet kullanmadan içmek veya içecekleri uzun süre ağızda tutmak, bu zararın boyutunu katlar. Bu tür içecekleri mümkün olduğunca azaltmak ya da içtikten sonra ağız temizliği yapmak, diş sağlığını korumanın en etkili yollarından biridir.
Ağız Kurumasını Tetikleyen Nefes Alışkanlıkları
Burundan düzgün nefes alamama ya da sürekli ağızdan nefes almak, ağız ortamını kurutur. Saliva yani tükürük, dişleri asitlere karşı koruyan ve mineral bakımından zengin doğal bir engeldir. Saliva üretiminde azalma olduğunda, dişler daha savunmasız hale gelir. Ayrıca, ağızda sürekli kuru kalmak, bakterilerin çoğalmasına ve periodontal hastalıkların ortaya çıkmasına zemin hazırlar. Ağız kuruluğunu önlemek için, burun solunumunu destekleyen çözümler ve nefes egzersizleri önerilir. Bu, diş minesinin sağlam kalmasını sağlar.
Yanlış ve Aşırı Beyazlatma Yöntemleri
Evde veya klinikte kullanılan doğal beyazlatıcılar bazen kısa vadeli parlaklık sağlasa da, içerdiği asit ve aşındırıcı maddeler nedeniyle diş minesine zara verir. Özellikle, karbonat ve limon suyu gibi malzemelerin yoğun kullanımı, minesindeki incelmeleri hızlandırır ve hassasiyeti artırır. Uzun vadede, bu yöntemler dişlerin doğal rengini bozabilir, çürük riskini yükseltir ve diş eti sorunlarına neden olabilir. Profesyonel tedaviler yerine bu tarz uygulamalardan uzak durmak, sağlıklı ağız yapısı için esastır.
Hızlı Fırçalamanın Zararı
Asitli içecekler veya şekerli gıdalar tükettikten sonra hemen dişleri fırçalamak, diş minesine ciddi zararlar verir. Çünkü, mines yumuşamış ve zayıflamış bir durumda iken yapılan fırçalama, yüzeyde küçük çatlaklar ve aşınmalar oluşturur. Bu durum, dişlerin hassasiyetinin artmasına ve zamanla yüzey bozukluklarına yol açabilir. Uzmanlar, bu durumda en az 30 dakika beklenmesini önerir. Ayrıca, florürlü diş macunu kullanmak, mineral kaybını önleyerek diş minesini güçlendirir.
Bunların yanı sıra, düzenli diş hekimi kontrolleriyle, erken aşamadaki aşınma belirtileri tespit edilerek, önleyici tedbirler alınabilir. Günlük alışkanlıklarınızı ve ağız bakım rutininizi iyileştirmek, sadece dişlerinize değil, genel sağlığınıza de büyük katkı sağlar. Yavaş ve bilinçli hareket ederek, diş minesinin doğal direncini koruyabilir, uzun vadeli ağız sağlığınızı güvence altına alabilirsiniz.
